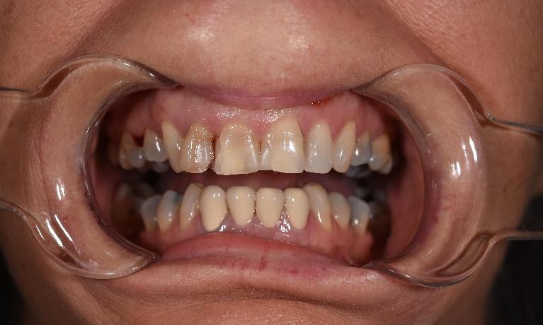
Teeth Whitening
Are you unsatisfied with the colour of your teeth?
Stains occur for many reasons, including smoking or tobacco use. Your teeth can also become stained by regularly eating certain foods and beverages. Plus, teeth naturally start to darken as you age.
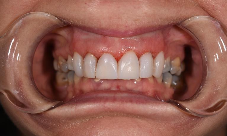
Choosing a professional whitening treatmentcan reverse the effects of tooth staining for a more aesthetically pleasing smile.
There are many whitening treatments readily available for purchase; however, professional whitening is generally safer and more effective. Applicator trays in chemist shop kits are intended to be “one size fits all” which can result in them fitting uncomfortably in your mouth since they aren’t designed specifically for your teeth. Whitening gels included with this type of product can sometimes be too abrasive or can leak because of ill-fitting trays, leading to gum and other soft tissue irritation.
For these reasons, you may want to choose professional whitening instead. The whitening service provided by your dentist may consist of two phases – an in-office whitening session and a customised at-home kit and care plan.
In-House Whitening
Your dentist will choose whitening gel in the appropriate strength for your needs while accounting for factors like your level of sensitivity and your whitening goals. This gel is typically applied using custom-made applicator trays for maximum comfort and also to protect the tissues in your mouth from becoming irritated by the whitening gel. Teeth can be lightened dramatically in only one session.
At-Home Whitening
If you prefer to whiten your teeth at your own convenience, your dentist may provide you with a custom at-home whitening kit. Your applicator trays will be customised just for you, and the strength of the whitening gel will be chosen to meet your needs. You will be given specific instructions on how to use it safely.
After this kind of whitening treatment, you will typically be asked to schedule a follow-up visit at our clinic to monitor your progress.
Arrange a Consultation to Learn More
Are you looking forward to a whiter smile? Contact your dentist to find out more about whitening services.
Frequently Asked Questions
Whitening products available for purchase in shops and online are designed to be "one size fits all" which often translates to "one size fits none". The effectiveness of over the counter formulations can vary but you will not get the best whitening result as these formulations are a much lower strength than what is available in professional whitening kits. It is also importance to realise that some areas of the mouth may appear dark due to decay/old fillings/crowns/past root canal therapies and these areas won't respond to bleaching so it is best to have your teeth examined professionally to determine if bleaching is the right treatment to whiten your smile. Formulations should also be compatible with tooth structure and not cause any undue damage to the teeth in the bleaching process.
Meet Our Doctor:
Dr Nick Georgiou BDS (Queensland)
Dentist
Dr Nick started practising at Welsford Dental after completing his dental degree at University of QLD in 1999. Since then he has gained much experience in all facets of dentistry and loves to provide dental treatment in a friendly and gentle manner. Having been born and bred in Shepparton - he’s a true local. Nick loves nothing more than a good yarn about the footy or the latest news headlines and as a Collingwood supporter you can be reassured that yes he has ALL his teeth and wants to ensure ...