Welsford Dental
Our practice will be closed from Monday 5th December 2025 and will reopen on Monday, 5 January 2026.

We wish you a Merry Christmas and a Happy New Year!

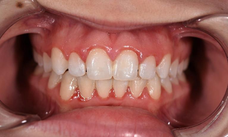
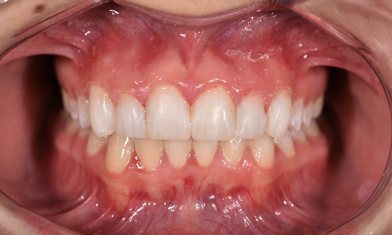
Smile Gallery

Smile Gallery Copy

*The images shown in our Smile Gallery are examples of dental treatments provided at our practice. Individual results will vary depending on each patient’s dental needs and circumstances.

Improve your smile today – call to schedule a consultation!
Any surgical or invasive procedure carries risks. Before proceeding, you should seek a second opinion from an appropriately qualified health practitioner.
Privacy Policy