Welsford Dental
Our practice will be closed from Monday 5th December 2025 and will reopen on Monday, 5 January 2026.

We wish you a Merry Christmas and a Happy New Year!

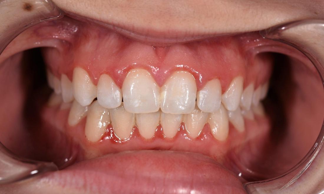
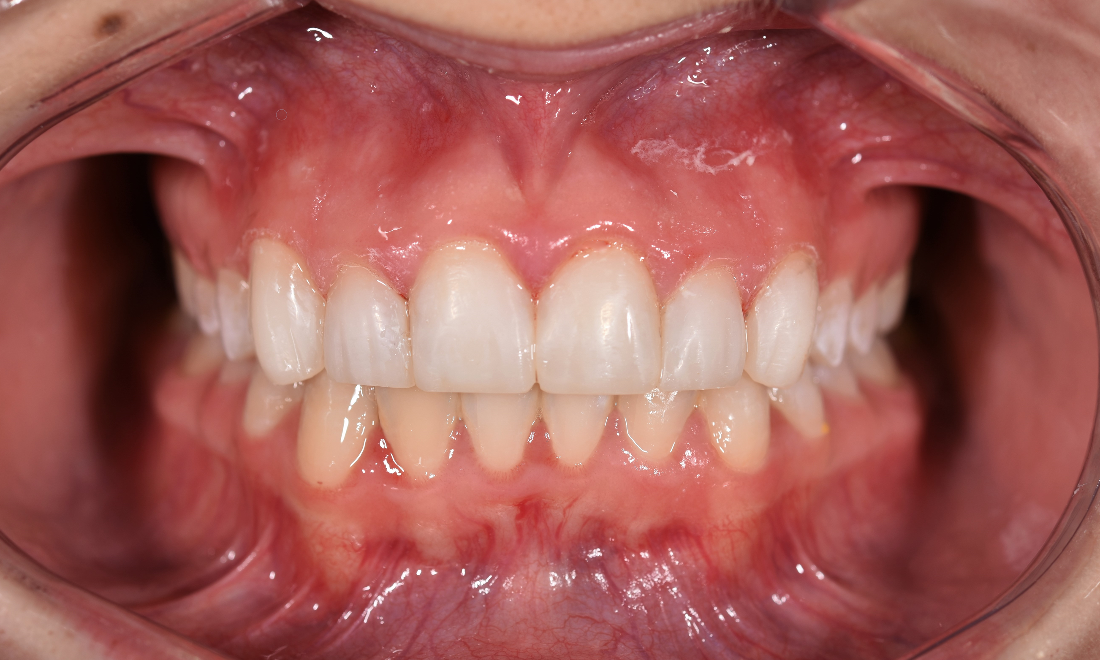
Filling

This 18 year old girl was unhappy with the size and spacing of her front teeth. We placed composite resin (white fillings) across the front as a veneer without removing any tooth structure to address her concerns. As it is completely reversible we can consider more permanent porcelain veneers in the future.

Related Services:

Tooth-Coloured Fillings
Have Questions? Get in Touch
Any surgical or invasive procedure carries risks. Before proceeding, you should seek a second opinion from an appropriately qualified health practitioner.
Privacy Policy